時間(Date) : 111.03.06(日) 上午09:00-12:00 (本次課程具學分認證)  
     
地點(Venue) : 集思台大會議中心B1 米開朗基羅廳(台北市羅斯福路四段85號)  
     
主辦(Sponsor):康美讀書會 Carmel Study Club  
     
協辦(Cosponsor):
源遠牙醫學會 Dental Alumni Association N.D.M.C / 康盛國際貿易有限公司 Concern Ltd.
 
 
程文鐸 醫師
  • 台北市立萬芳醫學中心齒顎矯正科
  • 中華民國齒顎矯正專科醫師
  • 日本審美齒科協會會員
  • 耀美牙醫、欣揚牙醫、亞卓牙醫
施柏聖 醫師
  • 台北醫學大學
  • 中華民國口腔植體學會學術委員
  • 中華審美牙醫學會專科醫師
  • 耀美牙醫、亞緻牙醫


案例:
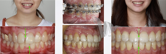
患者主訴前牙不美觀,檢查後有中線歪斜、缺牙、多顆根管等問題,先由其他科醫師進行基本治療,歷經三年矯正,側門牙植牙,最終達成病人的期待。若治療中矯正醫師與假牙醫師沒有適度的溝通,可能會造成前牙美學成果出現落差。例如矯正完牙齦高度不同,牙齒形態難做到自然,黑三角明顯等等問題,稍一不慎可能就得再重黏矯正器微調角度,進而拉長治療時間。因此這次請到施柏聖醫師來分享假牙醫師的治療觀點,讓矯正醫師們在遇到類似的合作案例時可以有效率的執行。

畫龍點睛:有時候牙齒排整齊了,卻還是覺得哪裡怪怪的,就好像房子裝潢好,卻少了適當的家具。讓牙醫師為病人加上最後一點修飾,成就完美笑容。
 
 
09:00-10:30 Topic:做個快樂的助攻手      程文鐸 醫師
10:30-10:45  Break time 
10:45-12:00 Topic:畫龍點睛                 施柏聖 醫師
   
 
  牙醫師 $2,500
     
  康美讀書會/國防校友/TAO、TOS會員 $2,000
     
  受訓醫師/學生 $1,500
 
已經截止報名,若有任何問題,請洽主辦單位,謝謝!